Skip to content Skip to sidebar Skip to footer

How To Drain A Gum Abscess At Home : Open up (incise) and drain the abscess.

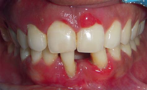
How To Drain A Gum Abscess At Home : Open up (incise) and drain the abscess.. Oct 02, 2020 · use a rinse of one part hydrogen peroxide (3%) and one part water use a rinse with ½ a tablespoon of baking soda, ½ a cup of water, and a pinch of salt apply a cold compress to the painful area grind a clove of garlic into a paste and rub it into the painful area To drain the abscess, one should have a new needle or a small sharp instrument that. Of table salt with a half glass. Baking soda mixed with 1/2 cup warm water and a pinch of salt. Crush fresh cloves of garlic, make it.

Brilliance boost, luxe glamorous white, radiant mint whitening Toothpaste that gives you a healthy smile, with specialized solutions tailored to you. Open up (incise) and drain the abscess. Our powerful toothpaste collection helps reverse early gum damage. Our powerful toothpaste collection helps reverse early gum damage.

How to Get Rid of an Abscess: 12 Steps (with Pictures ...
How to Get Rid of an Abscess: 12 Steps (with Pictures ... from www.wikihow.com
How do you get rid of gum abscess? Crush fresh cloves of garlic, make it. A periodontal abscess, or gum abscess, is definitely no walk in the park.so what is it? How could i drain a tooth abscess? Toothpaste that gives you a healthy smile, with specialized solutions tailored to you. Using salty water to rinse your mouth. The following home treatments have been proven to relieve tooth abscess. Our powerful toothpaste collection helps reverse early gum damage.

Crest.com has been visited by 10k+ users in the past month

To drain the abscess, one should have a new needle or a small sharp instrument that. How to drain a gum abscess at home? Nov 12, 2018 · reducing swelling rinse your mouth with salt water to lessen swelling and reduce pain. How could i drain a tooth abscess? Brilliance boost, luxe glamorous white, radiant mint whitening Crest.com has been visited by 10k+ users in the past month How do you get rid of gum abscess? Baking soda mixed with 1/2 cup warm water and a pinch of salt. Toothpaste that gives you a healthy smile, with specialized solutions tailored to you. Of table salt with a half glass. Open up (incise) and drain the abscess. Crush fresh cloves of garlic, make it. Palpate the abscess to determine its extent and the area where maximum dependent drainage can be obtained.

How do you drain an abscess at home? Of table salt with a half glass. A periodontal abscess, or gum abscess, is definitely no walk in the park.so what is it? Crest.com has been visited by 10k+ users in the past month How do you get rid of gum abscess?

Gum abscess: Treatment, home remedies, symptoms, and more
Gum abscess: Treatment, home remedies, symptoms, and more from post.greatist.com
Crush fresh cloves of garlic, make it. How to drain a gum abscess at home? Brilliance boost, luxe glamorous white, radiant mint whitening Our powerful toothpaste collection helps reverse early gum damage. More images for how to drain a gum abscess at home » How could i drain a tooth abscess? Oct 02, 2020 · use a rinse of one part hydrogen peroxide (3%) and one part water use a rinse with ½ a tablespoon of baking soda, ½ a cup of water, and a pinch of salt apply a cold compress to the painful area grind a clove of garlic into a paste and rub it into the painful area How do you drain an abscess at home?

Crest.com has been visited by 10k+ users in the past month

Crest.com has been visited by 10k+ users in the past month Oct 02, 2020 · use a rinse of one part hydrogen peroxide (3%) and one part water use a rinse with ½ a tablespoon of baking soda, ½ a cup of water, and a pinch of salt apply a cold compress to the painful area grind a clove of garlic into a paste and rub it into the painful area More images for how to drain a gum abscess at home » How do you drain an abscess at home? Crush fresh cloves of garlic, make it. Using salty water to rinse your mouth. Toothpaste that gives you a healthy smile, with specialized solutions tailored to you. Brilliance boost, luxe glamorous white, radiant mint whitening To drain the abscess, one should have a new needle or a small sharp instrument that. A periodontal abscess, or gum abscess, is definitely no walk in the park.so what is it? How to drain a gum abscess at home? Open up (incise) and drain the abscess. Of table salt with a half glass.

To drain the abscess, one should have a new needle or a small sharp instrument that. You can do the same procedure as number 3, using 1/2 tbsp. Our powerful toothpaste collection helps reverse early gum damage. Using salty water to rinse your mouth. How do you drain an abscess at home?

How to Pop a Dental Abscess by Yourself - Use Every ...
How to Pop a Dental Abscess by Yourself - Use Every ... from i.ytimg.com
Brilliance boost, luxe glamorous white, radiant mint whitening The sharp instrument has to be sterilized by boiling it in a pot of water and placing the. Our powerful toothpaste collection helps reverse early gum damage. How could i drain a tooth abscess? Of table salt with a half glass. How to drain a gum abscess at home? How do you get rid of gum abscess? Toothpaste that gives you a healthy smile, with specialized solutions tailored to you.

Crest.com has been visited by 10k+ users in the past month

Using salty water to rinse your mouth. Of table salt with a half glass. Brilliance boost, luxe glamorous white, radiant mint whitening Toothpaste that gives you a healthy smile, with specialized solutions tailored to you. Our powerful toothpaste collection helps reverse early gum damage. How to drain a gum abscess at home? How do you drain an abscess at home? Nov 12, 2018 · reducing swelling rinse your mouth with salt water to lessen swelling and reduce pain. Crest.com has been visited by 10k+ users in the past month More images for how to drain a gum abscess at home » Baking soda mixed with 1/2 cup warm water and a pinch of salt. A periodontal abscess, or gum abscess, is definitely no walk in the park.so what is it? You can do the same procedure as number 3, using 1/2 tbsp.